Blood clots are a serious health problem that can cause strokes, heart attacks and even death.
Some blood clots can be removed by doctors using a flexible tool that goes inside the affected vein or artery, but others are too hard to reach.
What if there was a way to break up those clots without surgery or drugs?
That’s the idea behind a new invention by scientists in the Netherlands.

A blood clot-busting millirobot. (University of Twente)
How does the new invention work?
Scientists have created tiny robots that can swim through your blood vessels and drill into the clots. These robots are called millirobots, and they are about the size of a grain of rice. They have a corkscrew-shaped body that contains a small magnet. The magnet helps them move and steer through the blood.
REPORTS REVEAL THE RISK FOR STROKES IS ON THE RISE IN YOUNG ADULTS

A rendering of a millirobot. (University of Twente)
MORE: A DAD’S LIFE-SAVING INVENTION IS INSPIRED BY HIS WIFE’S NEAR-DEATH ORDEAL
The millirobots are inserted into the blood vessel through a small tube called a cannula. Then, an external magnet that rotates is used to control them. The external magnet makes the millirobots spin along their axis, which allows them to swim through the blood. They can swim against the direction of the blood flow to reach the clot.
Once they get to the clot, they start drilling into it. This breaks up the clot into smaller pieces that can be carried away by the blood. Then, the external magnet changes the direction of rotation, which makes the millirobots swim back to the cannula. They can then be taken out of the blood vessel.
CRIME-FIGHTING AI ROBOCOP IS KEEPING AN EYE ON NEW YORK’S SUBWAY RIDERS

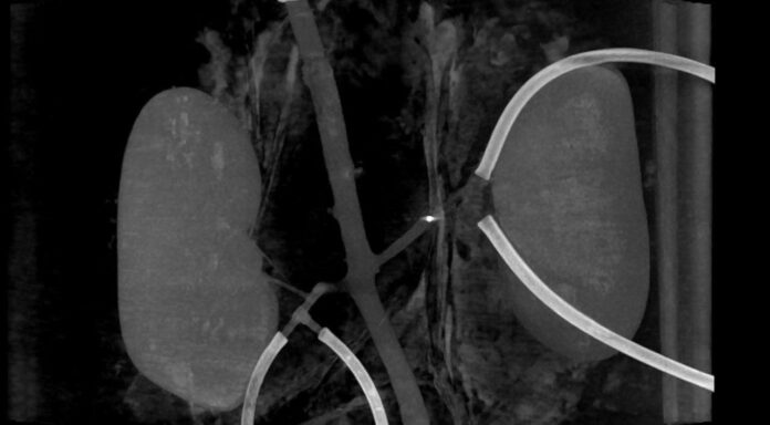
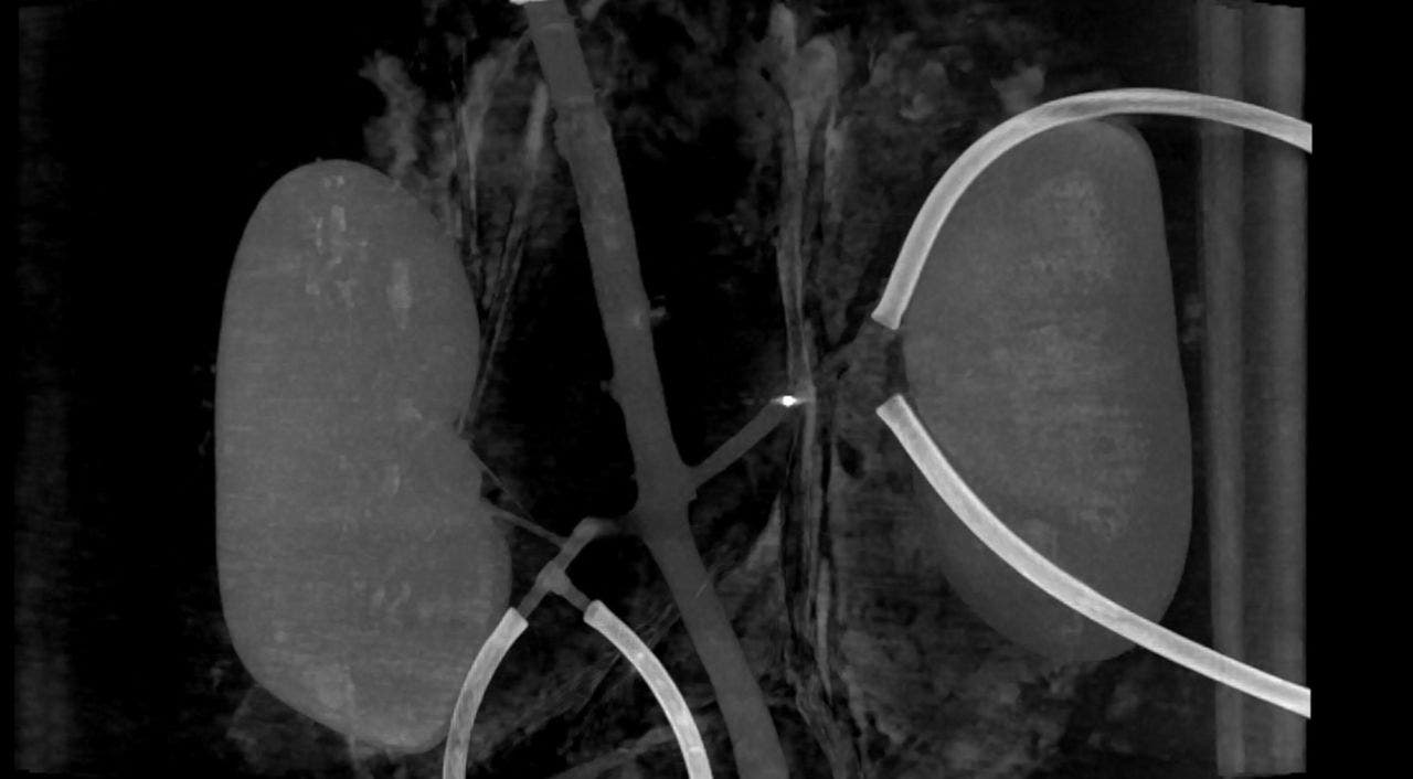
An X-ray image shows a millirobot making its way through a blood vessel. (University of Twente)
MORE: 6 APPS TO HELP YOU HANDLE MEDICAL EMERGENCIES
What testing has been done on the millirobots?
At the Technical Medical Centre of the University of Twente, the researchers set up their experiment with a real aorta and kidneys. The scientists were able to guide multiple millirobots through the vessels and break up clots. They think the millirobots could work even better with a stronger external magnet.

A lab setup utilized in the study to treat blood clots. (University of Twente)
MORE: 7 LUCKY PEOPLE PROVE APPLE WATCH CAN SAVE LIVES
What are the benefits of the millirobots?
The millirobots could offer a new way to treat blood clots that are hard to reach or dissolve. They could reduce the need for surgery or drugs, which can have side effects or complications. They could also deliver drugs to specific places in the body where they are needed the most, such as tumors or infections.

A blood clot-busting millirobot at work.
The lead scientist, Asst. Prof. Islam Khalil from the University of Twente, said in an interview, “The robots can deliver drugs to very specific places in the body where the drug is needed the most. That way we have minimal side effects in the rest of the body.”
The technology is being developed further by a partnership between Radboud University Medical Center and Triticum Medical. They hope to make the millirobots more efficient and safe for human use. They also want to explore other applications of the millirobots, such as cleaning arteries or removing plaque.
CLICK HERE TO GET THE FOX NEWS APP
Kurt’s key takeaways
The millirobots could be a game-changer for treating blood clots and other diseases. They could save lives and improve health outcomes for millions of people. They are an example of how tiny robots can have a big impact.
How do you feel about the potential of nanotechnology and robotics for medical applications? Do you think they are promising or risky? Let us know by writing us at Cyberguy.com/Contact
For more of my tech tips & security alerts, subscribe to my free CyberGuy Report Newsletter by heading to Cyberguy.com/Newsletter
Ask Kurt a question or let us know what stories you’d like us to cover.
Answers to the most asked CyberGuy questions:
Ideas for using those holiday gift cards
Copyright 2023 CyberGuy.com. All rights reserved.



